Răng khôn là gì?
Răng khôn (còn gọi là răng số 8, răng hàm lớn thứ ba) là răng mọc cuối cùng của hàm, thông thường mọc ở người trong độ tuổi 17 đến 25. Răng khôn gây ra nhiều tranh cãi khác nhau do chức năng của nó không rõ ràng mà lại gây ra nhiều phiền toái.
Răng khôn gây ra những tác hại gì?
Sâu răng. Do răng khôn nằm trong cùng hàm nên rất khó để vệ sinh thức ăn, vì thế mà vi khuẩn dễ dàng tích tụ lại. Vấn đề đặc biệt khó hơn khi răng khôn chỉ mọc lên được một phần hoặc mọc lệch mọc đâm sang răng bên cạnh. Sự tích tụ lâu ngày này sẽ gây sâu răng khiến người bệnh đau đớn và nhiễm trùng.
Viêm lợi. Sự tích tụ thức ăn và vi khuẩn ở răng khôn sẽ gây ra viêm nhiễm vùng lợi xung quanh, dẫn đến triệu chứng: đau, sưng, sốt, hôi miệng hoặc đôi khi cứng hàm khiến bệnh nhân không thể mở miệng to. Viêm lợi nếu tái phát nhiều lần cho đến khi răng khôn được chữa trị, càng ở những lần tái phát sau thì mức độ nguy hiểm ngày càng lớn.
Răng mọc chen chúc: Thông thường hàm răng sẽ không đủ chỗ cho răng khôn mọc lên nên dẫn tới mọc lệch và xô lấn sang răng bên cạnh.
Huỷ hoại xương và hàm răng. Khi răng khôn mọc lệch đâm sang răng bên cạnh, nó sẽ khiến răng đó bị tiêu huỷ, lung lay tiêu xương, cuối cùng dẫn đến phải nhổ răng. Triệu chứng dễ phát hiện ra nhất là người bệnh có những cơn đau âm ỉ kéo dài ở khu vực đó.
Trong một số trường hợp, nếu những bất thường của răng khôn chưa được chữa trị kịp thời, nhiễm trùng sẽ lây lan sang các khu vực mang tai, má, mắt, cổ… xung quanh, có thể gây nguy hiểm đến tính mạng. Nên xử lý răng khôn như thế nào?
Hiện tại, việc xử lý răng khôn như thế nào vẫn còn là tranh cãi có thể tóm gọn lại như sau:
Theo dõi, đối với trường hợp răng khôn đã mọc hoàn toàn, không có triệu chứng, mọc thẳng, không sâu răng, nha chu khỏe và không có các ổ bệnh liên quan thì không cần nhổ răng, nhưng cần theo dõi định kỳ bằng cách thăm khám và chụp x quang để phát hiện sớm biến chứng (nếu có)
Loại bỏ răng khôn, bác sĩ sẽ xem xét loại bỏ răng khôn trong các trường hợp sau:
- Khi có bằng chứng về sự hiện diện các biến chứng do răng khôn gây ra.
- Can thiệp loại bỏ răng khôn trước khi tiến triển thành biến chứng nên được xem xét ở những bệnh nhân không đủ không gian sinh lý để mọc và duy trì răng.
- Răng khôn rất dễ thay đổi vị trí, gây ra chen chúc, ảnh hưởng đến các răng xung quanh, cần theo dõi thường xuyên để đánh giá sự thay đổi vị trí răng, nếu có nguy cơ cao xảy ra biến chứng nên xem xét loại bỏ răng
Các phương pháp loại bỏ răng khôn.
Đối với những răng khôn hàm trên, răng mọc thẳng hoặc những răng có độ nghiêng vừa phải chúng ta hoàn toàn có thể áp dụng phương pháp nhổ thông thường để loại bỏ răng khôn.
Đối với những trường hợp khó hơn như răng khôn mọc nghiêng, mọc bên dưới nướu có phần chân sâu bên trong hàm cần áp dụng phương pháp tiểu phẫu mới có thể loại bỏ chúng.
Tiểu phẫu răng khôn không phải là một kỹ thuật quá khó trong nha khoa, nhưng đòi hỏi sự kỹ lưỡng trong quy trình thăm khám và quá trình thực hiện, đặt biệt quan trọng là tay nghề và kinh nghiệm của bác sĩ. Đến với Bệnh viện Đa khoa Hoàng Tuấn quý khách sẽ được thăm khám đánh giá và thực hiện các cận lâm sàng cần thiết để xác định chính xác vị trí, độ nghiêng, sự hiện diện các biến chứng để được tư vấn lựa chọn các phương pháp loại bỏ răng không phù hợp.
Việc thực hiện loại bỏ răng khôn bằng sẽ được các bác sĩ, kỹ thuật viên của bệnh viện thực hiện quy trình gây tê kỹ lưỡng để hạn chế tối đa những khó chịu trong quá trình thực hiện thủ thuật. Ngoài ra việc kiểm soát nhiễm khuẩn luôn được đảm bảo để tránh xảy ra các biến chứng nhiễm khuẩn sau khi thủ thuật, rút ngắn tối đa thời gian hồi phục sau khi loại bỏ răng.
Sau khi thực hiện thủ thuật, quý khách sẽ được kê đơn thuốc, hướng dẫn kỹ càng cách chăm sóc theo dõi tại nhà, và hẹn tái khám sau một thời gian nhất định. Hầu hết các khách hàng đều hồi phục trong thời gian ngắn, không còn những khó chịu do răng khôn gây ra.
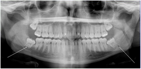
Dưới đây là một số hình ảnh răng khôn mọc ngầm gây khó chịu cho khách hàng đã được xử lý tại Bệnh viện Đa khoa Hoàng Tuấn.

Thông tin chi tiết xin vui lòng liên hệ: 0971 070 115
Bệnh viện Đa khoa Hoàng Tuấn – được phục vụ quý khách là vinh dự của chúng tôi!
Tác giả Bác sĩ Nguyễn Hoàng Minh Bác sĩ Trần Ngọc Khởi Tài liệu tham khảo 1. Ouassime, K., Rachid, A., Amine, K., Ousmane, B., & Faiçal, S. (2021). The wisdom behind the third molars removal: A prospective study of 106 cases. Annals of Medicine and Surgery, 68, 102639. 2. Rafetto LK. Managing Impacted Third Molars. Oral Maxillofac Surg Clin North Am. 2015 Aug;27(3):363-71.
