PHẪU THUẬT ĐIỀU TRỊ GÃY ĐẦU DƯỚI XƯƠNG ĐÙI PHẢI CHO BỆNH NHÂN NAM TRẺ TUỔI SAU TAI NẠN LAO ĐỘNG

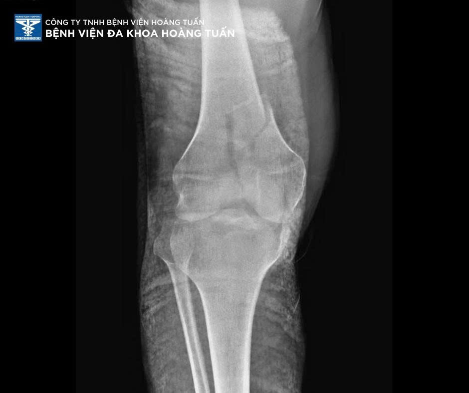
Vừa qua, Bệnh viện Đa khoa Hoàng Tuấn tiếp nhận một trường hợp bệnh nhân nam 24 tuổi, nhập viện trong tình trạng đau nhiều vùng đùi, gối phải sau khi ngã chấn thương trong lúc lao động. Bệnh nhân cho biết có cảm giác đau tăng nhiều hơn khi di chuyển, khó đứng vững và vận động gối phải bị hạn chế rõ rệt, nên người nhà đã nhanh chóng đến bệnh viện để khám.

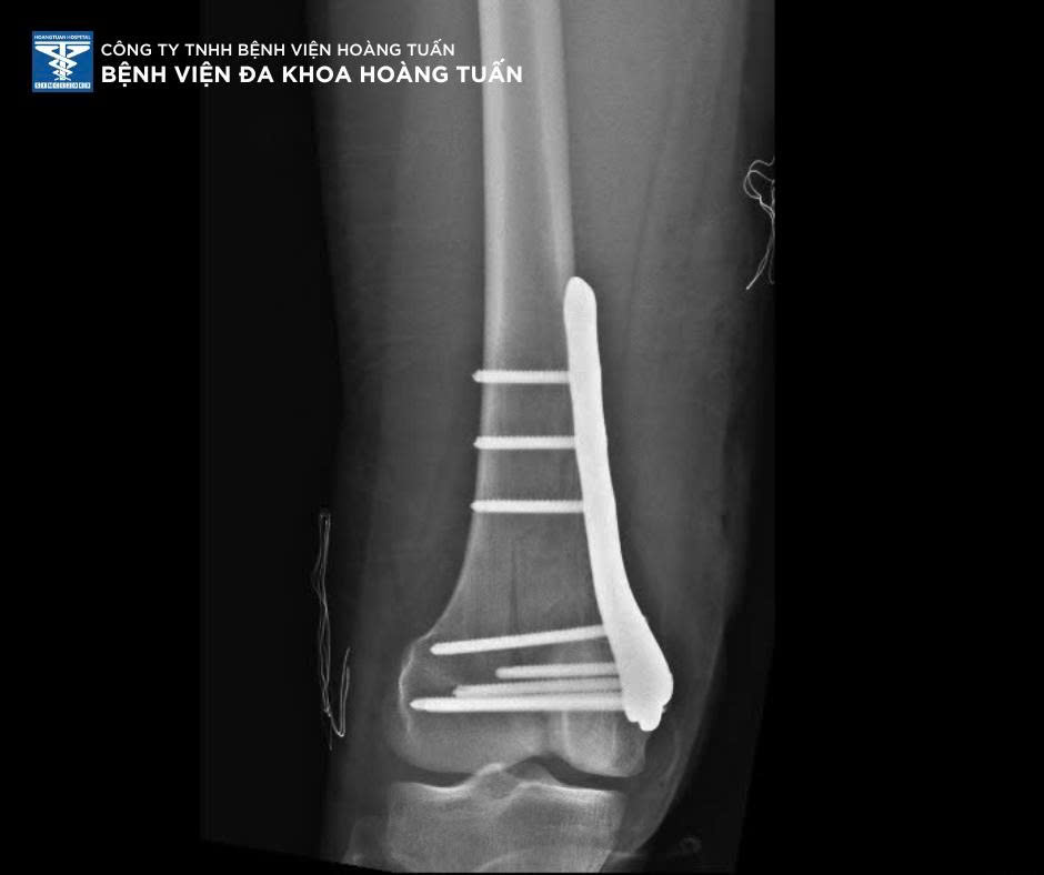
Sau khi thăm khám lâm sàng và thực hiện các cận lâm sàng cần thiết, BSCKI. Vũ Quốc Dũng – Khoa Ngoại CTCH Bệnh viện Đa khoa Hoàng Tuấn nhận định bệnh nhân chấn thương vùng đùi phải nghi do gãy đầu dưới xương đùi kèm tổn thương phần mềm – khớp gối, chỉ định nhập viện điều trị và can thiệp phẫu thuật kết hợp xương kịp thời nhằm phục hồi chức năng vận động, hạn chế các biến chứng lâu dài.

Sau 2 giờ trải qua cuộc phẫu thuật cùng BSCKI. Vũ Quốc Dũng và Ekip phẫu thuật CTCH Bệnh viện Đa khoa Hoàng Tuấn, bệnh nhân giảm sưng đau, vận động nhẹ sau phẫu thuật, phục hồi tầm vận động sớm. Với đội ngũ y bác sĩ giàu kinh nghiệm cùng hệ thống chẩn đoán hình ảnh y khoa tiên tiến, Bệnh viện Đa khoa Hoàng Tuấn luôn sẵn sàng tiếp nhận và xử trí nhanh chóng các trường hợp chấn thương phức tạp do tai nạn sinh hoạt, lao động. Quý khách có nhu cầu tư vấn vui lòng liên hệ số điện thoại bên dưới bài viết hoặc trực tiếp qua tin nhắn FB Bệnh viện Đa khoa Hoàng Tuấn.

Được phục vụ quý khách là vinh dự của chúng tôi !


Tác giả: BS. Trần Nguyên Minh Khoa