PHẪU THUẬT ĐIỀU TRỊ CHẤN THƯƠNG GÃY HỞ XƯƠNG BÀN NGÓN CHÂN PHẢI CHO BỆNH NHÂN NỮ TRẺ SAU TAI NẠN GIAO THÔNG

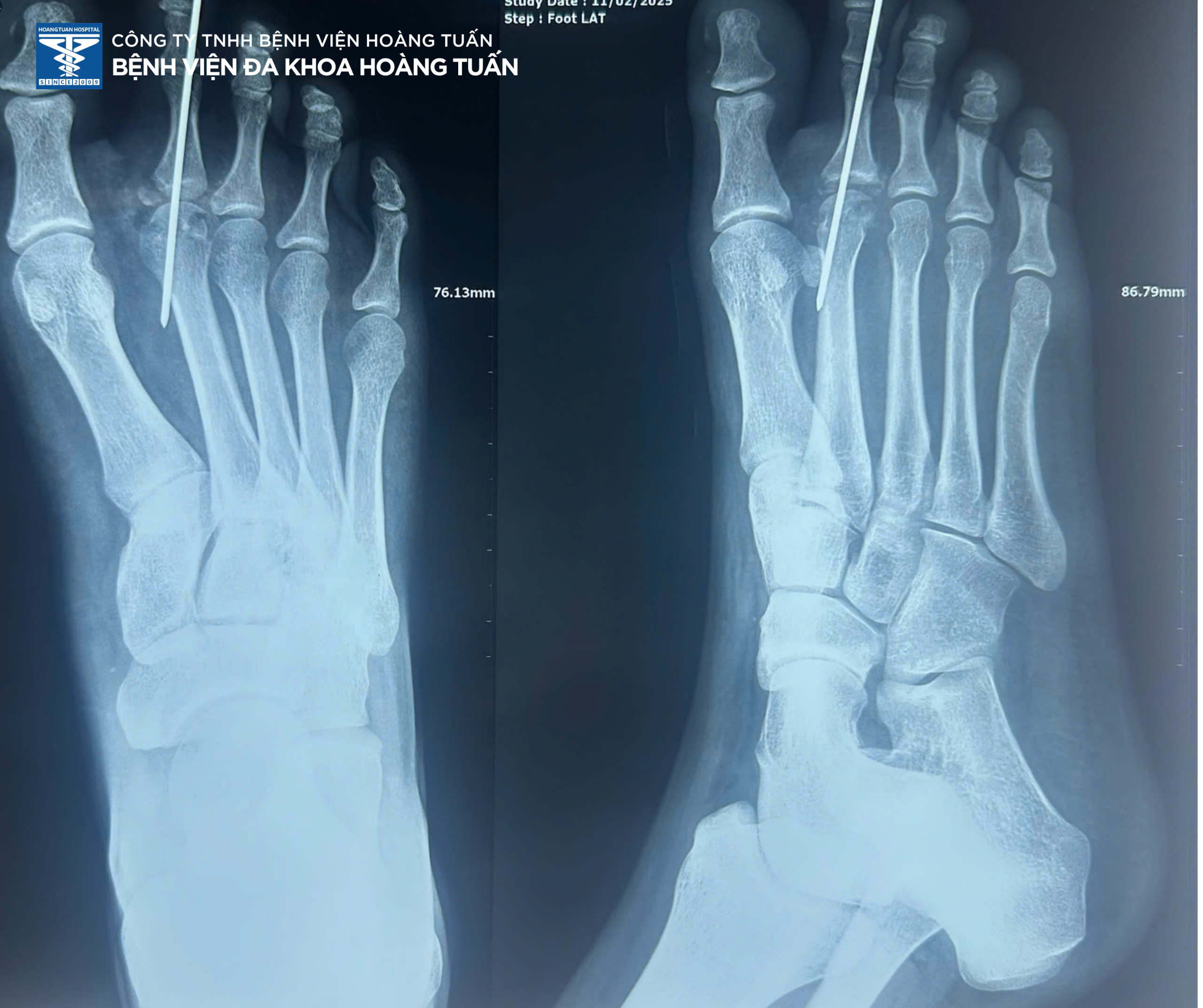
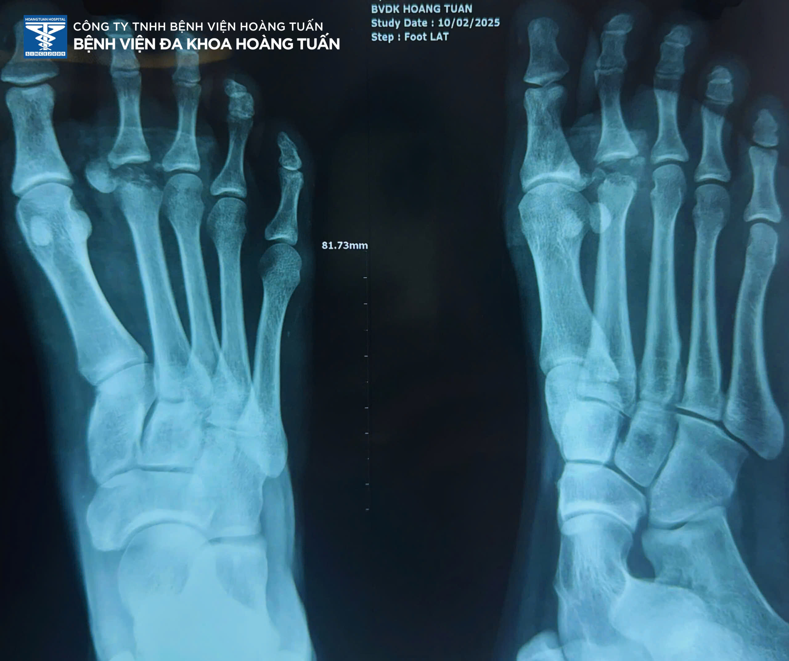
  • Vừa qua, Bệnh viện Đa khoa Hoàng Tuấn vừa tiếp nhận một trường hợp bệnh nhân nữ trẻ tuổi vào viện vì đau, chảy máu nhiều vết thương vùng bàn ngón chân phải sau tai nạn giao thông. Qua thăm khám và chụp X-quang vùng bàn ngón chân phải kiểm tra, phát hiện gãy vùng xương bàn ngón II bên phải. Ban lãnh đạo Bệnh viện và Bác sĩ Ngoại Chấn thương hội chẩn và thống nhất quyết định phẫu thuật điều trị phục hồi vùng xương gãy.
  • Sau phẫu thuật, bệnh nhân giảm đau và phục hồi nhanh chóng, cải thiện vận động sớm. Đây cũng là niềm vui và thành quả của sự cố gắng tập thể các Bác sĩ, nhân viên y tế tại Bệnh viện Đa khoa Hoàng Tuấn.